TelefonKontaktdaten MailKontaktformular TelefonKontakt anrufen MailKontaktformular

Duplex Gefäße (Duplexsonographie)

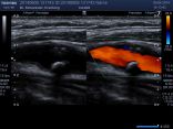
Die farbkodierte Duplexuntersuchung der Gefäße ist ein Ultraschallverfahren und gibt u.a. Auskunft über Verkalkungen, Einengungen, Verschlüsse oder Thrombosen im Bereich der Arterien und Venen.
Sie kann in allen Gefäßregionen des Körpers zur Anwendung kommen.
Die Untersuchung wird angewandt zur Diagnostik von Verengungen in den hirnversorgenden Arterien, Erweiterungen (Aneurysmen) oder Verengungen der Bauchschlagader, Verengungen der Nierenarterien bei Bluthochdruck,  Venenthrombosen und zur Bestimmung des Gefäßrisikoprofils.

Durchführung

Ultraschalluntersuchung der jeweiligen Gefäßregion am liegenden Patienten.
Dauer: Je nach Fragestellung mehrere Minuten.