TelefonKontaktdaten MailKontaktformular TelefonKontakt anrufen MailKontaktformular

Ultraschalluntersuchung des Herzens (Echokardiographie)

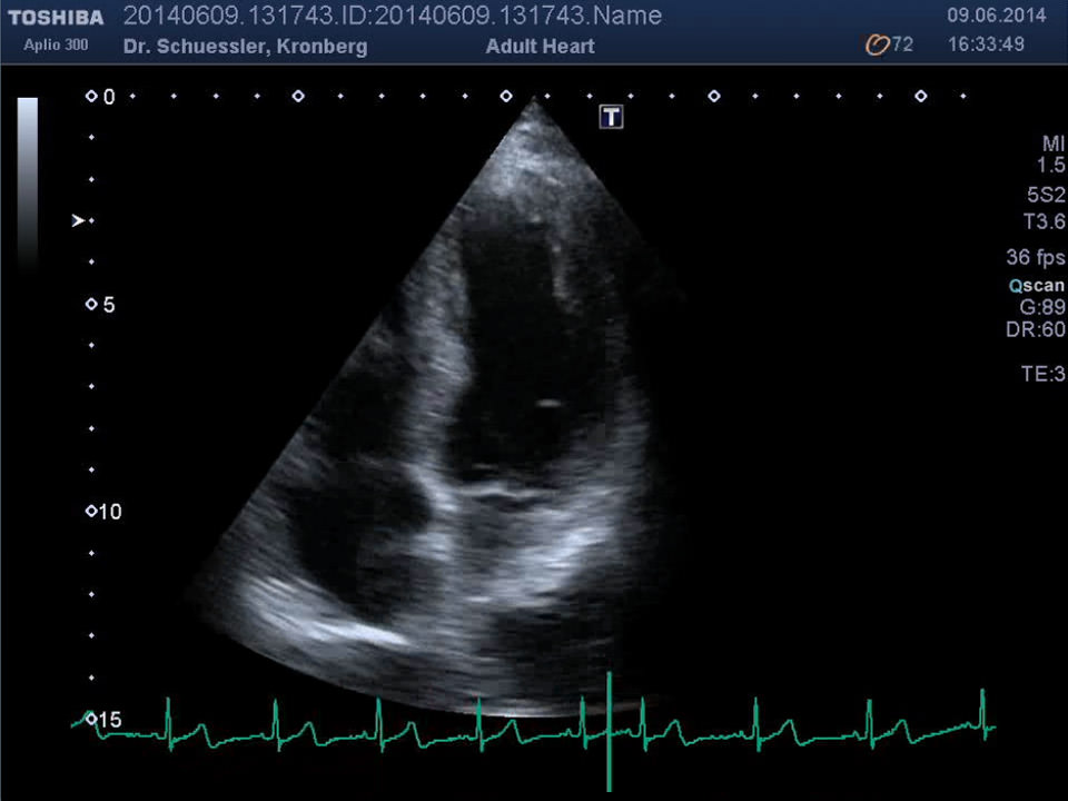
Die Ultraschalluntersuchung des Herzens erlaubt, auf einem nicht belastenden Weg, eine umfangreiche Darstellung des Herzens. Unter Hinzunahme der Farbdopplertechnik kann eine ausführliche Beurteilung der Strukturen und der Funktion des Herzens erfolgen.

Moderne Auswertungsalgorithmen wie das „Wall Motion Tracking“ erlauben eine isolierte, hochauflösende Darstellung und Analyse der Bewegung und Funktion einzelner Segmente des Herzmuskels.

Die Echokardiographie hat überragende Bedeutung in der Ersterkennung und Verlaufsbeurteilung der:

  • koronaren Herzkrankheit
  • Herzschwäche
  • Herzklappenerkrankungen
  • entzündlichen Veränderungen

und ist Methode der Wahl zur Verlaufskontrolle nach Herzoperationen.

Oben genannte Untersuchungstechniken lassen eine Aussage zu folgenden Fragestellungen zu:

  • Größe der Herzhöhlen
  • Wanddicken des Herzmuskels
  • Beschaffenheit der Herzklappen, Verengungen / Undichtigkeiten / entzündliche Veränderungen
  • Erkrankungen im Abgangsbereich der Körperschlagader (Aorta)
  • Beschaffenheit des Herzbeutels
  • Pumpfunktion des Herzmuskels
  • Segmentale Bewegungsstörungen des Herzmuskels als Hinweis auf Durchblutungsstörungen

Durchführung

Dauer je nach Fragestellung 5 – 15 Minuten